Opis pacjenta, historia choroby i badanie kliniczne
Właściciel psa, 7-letniego kastrowanego samca, rasy Jack Russell terier zgłosił się do lecznicy weterynaryjnej ze względu na wystąpienie u zwierzęcia w ciągu ostatnich 24 godzin apatii, osowiałości i braku apetytu. W badaniu klinicznym stwierdzono podwyższoną temperaturę ciała (39,8 °C).
Badania dodatkowe
Ze względu na kliniczne podejrzenie babeszjozy przygotowano rozmaz krwi włośniczkowej. W ocenie rozmazu wykonanym w lecznicy nie stwierdzono obecności organizmów Babesia canis.
Próbki krwi pobranej na antykoagulant K2EDTA i surowicę wysłano do naszego laboratorium w celu przeprowadzenia dalszych badań diagnostycznych.
Badanie morfologiczne i biochemiczne
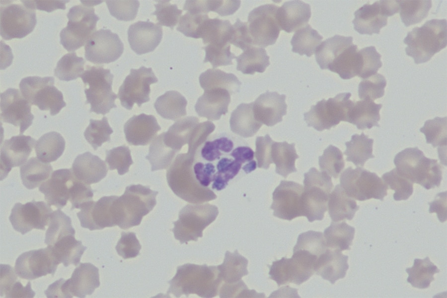
W badaniu morfologicznym krwi z mikroskopową oceną rozmazu stwierdzono znaczną małopłytkowość (40 tyś/mm3, zakres referencyjny: 150-500), przesunięcie w lewo z nieznacznymi zmianami toksycznymi (nieliczne ciałka Döhle’go) i obecność nielicznych reaktywnych limfocytów. Nie stwierdzono obecności czynników zakaźnych.
Biorąc pod uwagę objawy kliniczne (m.in. obecność gorączki) za prawdopodobną przyczynę małopłytkowości uznano obecność choroby zakaźnej. Inne możliwe rozpoznania różnicowe uwzględniały m.in. nowotwór, pierwotną trombocytopenię tła immunologicznego, chorobę naczyń krwionośnych i sepsę. Obniżona produkcja płytek krwi w skutek choroby szpiku kostnego była bardzo mało prawdopodobna biorąc pod uwagę brak innych cytopenii.
Oznaczenie liczby płytek krwi w świeżej próbce krwi pobranej na cytrynian potwierdziło obecność małopłytkowości i umożliwiło wykluczenie małopłytkowości rzekomej EDTA-zależnej.
Zmiany w leukogramie wskazały na obecność stanu zapalnego i obecność stymulacji antygenowej, która mogła być wtórna do choroby zakaźnej.
Badanie biochemiczne krwi było w normie.
Koagulogram
Czasy krzepnięcia były w normie.
Badania serologiczne
Wyniki badania serologicznego (odczyn immunofluorescencji pośredniej IFA, z ang. indirect immunofluorescence assay) w kierunku Anaplasma phagocytophilum (IgG) i Borrelia burgdorferi (IgG i IgM) były negatywne.
Badania obrazowe
W badaniu ultrasonograficznym jamy brzusznej stwierdzono nieznaczną splenomegalię.
Badania PCR
Następnie zdecydowano się na wykonanie badań PCR (z ang. polymerase chain reaction) krwi w kierunku Babesia canis, Anaplasma phagocytophilum, Ehrlichia canis i Borrelia burgdorferi. Wynik był pozytywny w kierunku Anaplasma phagocytophilum.
Rozpoznanie
Anaplazmoza.
Podsumowanie
Anaplazmoza to choroba odkleszczowa wywoływana przez bakterie Anaplasma phagocytophilum. Jak w przedstawionym przypadku objawy kliniczne choroby są niespecyficzne – najczęściej występującym objawem jest gorączka, która pojawia się u 61-90% zakażonych psów. Najczęstszą nieprawidłowością obecną w badaniach laboratoryjnych jest małopłytkowość (nawet u 95% pacjentów). U części zakażonych zwierząt udaję się stwierdzić obecność moruli Anaplasma sp. wewnątrz granulocytów we krwi obwodowej, aczkolwiek brak organizmów nie wyklucza zakażenia. Inne zaburzenia laboratoryjne, do których może dojść w przebiegu choroby to m.in. neutrofilia lub neutropenia, limfopenia, monocytoza, niedokrwistość, nieznaczna do umiarkowana hipoalbuminemia i podwyższenie ALP.
Do ostatecznego rozpoznania anaplazmozy niezbędne jest wykazanie 4-krotnej zmiany miana przeciwciał IgG albo pozytywny wynik badania PCR. Badanie PCR wykonane na krwi obwodowej jest najbardziej wiarygodną metodą diagnostyczną. Metoda ta jest swoista i umożliwia wykrycie zakażenia we wczesnej fazie choroby, zanim możliwe będzie zaobserwowanie organizmów w rozmazie krwi. Morule wewnątrz granulocytów stwierdza się u mniej więcej 38% pacjentów. Dla niedoświadczonego obserwatora problematyczne może być odróżnienie moruli od ciałek Döhle’go, artefaktów lub zanieczyszczeń. Interpretacja pojedynczego miana przeciwciał nie jest jednoznaczna. Jak w przedstawionym przepadku wynik badania serologicznego może być ujemny w ostrym stadium choroby. Negatywne miano przeciwciał występuje nawet u 40% pacjentów z ostrą chorobą i obecnością moruli Anaplasma sp. w rozmazie krwi. Z kolei pojedyncze pozytywne miano nie wskazuje na aktywne zakażenie m.in. ze względu na możliwość wcześniejszej ekspozycji na patogen bez rozwoju klinicznej choroby.
Ze względu na ryzyko koinfekcji pełne postępowanie diagnostyczne w przypadkach anaplazmozy powinno obejmować wykluczenie innych chorób odkleszczowych, takich jak m.in. borelioza. Pojedyncze przypadki anaplazmozy raportowane są również u kotów (także w naszym laboratorium). Metodą leczenia z wyboru jest doksycyklina.
Negatywny rozmaz i miano przeciwciał nie umożliwia wykluczenie zakażenia Anaplasma phagocytophilum. Opisany przypadek pokazuje istotną rolę molekularnych metod diagnostycznych (PCR) w rozpoznawaniu chorób odkleszczowych psów w obliczu ograniczeń badania mikroskopowego i serologicznego.
Morule Anaplasma phagocytophilum wewnątrz neutrofila


